L. Syd M Johnson examines first of its kind research that aims to reverse brain death in humans.
__________________________________________
Last month, the US company Bioquark obtained regulatory approval for its Reanima Project, a research study that aims to resurrect the brain dead. The study will use stem cell therapy, transcranial laser therapy, and nerve stimulation in an attempt to reverse brain death in humans, by mimicking the nervous system regeneration seen in animals like salamanders and sea cucumbers. This month, researchers will begin recruiting 20 brain dead subjects in India.
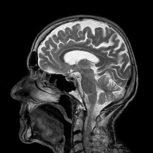
India, like Canada and the United Kingdom, defines brain death as “brain stem death.” The brain stem standard defines legal death as “irreversible loss of the capacity for consciousness combined with the irreversible loss of the capacity to breathe.” Key components of consciousness and respiratory control are found in the brain stem, and their loss results in brain stem death. Preserved cortical electrical activity and intracranial blood flow are compatible with brain stem death.
The United States and much of Europe use the whole brain death standard for determining death. Whole brain death is the “irreversible cessation of all functions of the entire brain, including the brain stem.” Even with whole brain death, however, islands of functioning brain tissue, as well as electrical and hormonal brain activity can persist. By either definition brain death is irreversible.
The Reanima Project aims to change this. But, will the modest outcomes of the proposed study match the immodest claims of “curing” brain death and restoring consciousness? The primary outcome measure of the study is “reversal of brain death as noted in clinical examination or EEG.” However, electrical activity as recorded by EEG is compatible with brain death of either kind. A claim to have reversed brain death cannot be based on evidence of something that is already present in brain death. Secondary outcome measures include brain imaging to detect neurogenesis; and pulse, oxygen saturation, blood pressure, and respiration changes. Of these, only respiration changes would indicate recovery from brain death, and then only if spontaneous breathing was restored.
This study also raises a number of ethical concerns. The Bioquark CEO indicates that this research will be conducted in India because intensive care hospitalization in India costs about one-tenth of what it costs in the United States. While cost-saving is a common rationale for conducting research in lower income countries, the location of the research raises ethical concerns about regulatory and ethical oversight.
There are also serious concerns about free and informed consent given the cultural and educational differences, as well as potential language barriers. Consent to enroll the brain dead as subjects must be obtained from family members (or legal surrogates), who may be especially vulnerable while grieving the loss of a loved one. Obtaining this consent for research that aims to reverse death is likely to be particularly challenging.
A further concern is the risk of harm to research subjects. It might seem that individuals who are brain dead cannot be harmed by research, but this is far from obvious. Bioquark’s CEO states that “Moving somebody from brain death all the way to the minimally conscious state and out of it might not happen in the very short term, but even the transition from irreversible to a deep coma state would be a major win.” A limited, so-called recovery from brain death to coma would not fall in the “win” column for many people, and there is a risk that, should the research achieve such minimal results, some patients could be left in a condition they would consider worse than death. Not everyone would view life in a permanent coma to be a life worth living. And what will become of these research subjects after the year-long study is over? Should the research fail to achieve its goals, they will still be brain dead. But if it succeeds, they may be left severely disabled in a coma, and in need of continuous, lifelong care. Will Bioquark foot the bill for their care, after bringing them back from the dead?
Finally, biomedical research conducted in lower income countries can be exploitative, as the research benefits (assuming the research is successful) will never be attainable for citizens in the countries where the research is conducted. A high-tech intervention like the Reanima Project would be expensive, and probably out of reach for many people in India, for whom even basic medical care, not to mention the intensive care needed to sustain a brain dead patient, is inaccessible.
Bringing a dead brain back to life – whatever that means – is not like resuscitating a stopped heart. At present, it’s closer to science fiction than fact, and poses serious risks. An immediate risk of this research – one that surprisingly passed regulatory muster – is that it could leave its subjects not better off, but better off dead.
__________________________________________
L. Syd M Johnson is assistant professor of philosophy and bioethics in the Departments of Humanities, and Kinesiology & Integrative Physiology at Michigan Technological University. @LSydMJohnson



